Rééducation et Réadaptation
Les pathologies
Le Pôle de santé la Reviscolada s’est donné comme autre mission d’évaluer la capacité des patients à s’adapter à leur vie quotidienne permettant de proposer si besoin, des moyens améliorant ou compensant leur handicap.

AVC
Notre établissement dispose d’un programme d’éducation thérapeutique « la vie après l’AVC ».
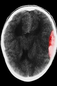
Un accident vasculaire cérébral ou AVC, communément appelé « attaque cérébrale », est une perte soudaine d'une ou plusieurs fonctions du cerveau.
Il est provoqué :
par un arrêt brutal de la circulation sanguine à l'intérieur du cerveau. C'est l'accident vasculaire cérébral ischémique. L'arrêt de la circulation du sang dans une artère ne permet plus un apport suffisant en oxygène et en éléments nutritifs . Cela entraîne la mort des cellules cérébrales, au niveau de la zone du cerveau touchée : c'est l'infarctus cérébral ;
ou par la survenue d'une hémorragie intracérébrale. C'est l'AVC hémorragique.
La gravité de l'accident vasculaire cérébral dépend de la localisation et de l'étendue des zones cérébrales touchées.

Lésion Cérébrale
Un patient cérébro-lésé, c’est une personne avec des lésions cérébrales qui entraînent des atteintes plus ou moins graves.
Les lésions cérébrales peuvent survenir après :
- Un traumatisme crânien
- Un anévrysme ou accident vasculaire cérébral
- Une tumeur
- Un abcès cérébral
- Suite à une maladie touchant le système nerveux (Sclérose en plaques, maladie de Behcet…)
Les lésions cérébrales consécutives à ces accidents et maladies entraînent souvent un coma, des atteintes neurologiques et des atteintes cognitives.
La moelle épinière est la partie du système nerveux central qui se situe à l’intérieur de la colonne vertébrale. Il s’agit d’une structure essentielle aux sensations en provenance de notre corps et aux fonctions motrices.

Lésion Médullaire
La moelle épinière est la partie du système nerveux central qui se situe à l’intérieur de la colonne vertébrale. Il s’agit d’une structure essentielle aux sensations en provenance de notre corps et aux fonctions motrices.
Une lésion à la moelle épinière, ou lésion médullaire, coupe la communication entre le cerveau et le corps et entraîne la paralysie totale ou partielle des membres et du tronc.
L'étendue de la paralysie dépend de la localisation de la lésion dans la colonne vertébrale et de sa gravité.

Traumatisme Crânien
L’expression « traumatisme crânien » (TC) correspond littéralement à un choc sur le crâne, quelle que soit son intensité, en terme médical, le traumatisme crânien correspond à un choc dont l’intensité provoque un trouble de la conscience, même bref. De nombreuses circonstances de la vie peuvent entraîner un traumatisme crânien (sportif, professionnel, accident de voiture ou de voie publique, accidents domestiques, agression, chute, coup porté sur la tête, arme à feu…).
Le traumatisme crânien englobe tous les coups reçus à la tête déclenchant des signes neurologiques, et ce quelle que soit leur force. Parfois légers, ils peuvent s'avérer dramatiques si les lésions sont profondes. Le point sur cette pathologie dont les conséquences sont aujourd'hui encore trop méconnues.

Trouble de la conscience à la sortie de réanimation
Après une atteinte neurologique ou à la suite d’un traumatisme crânio-cérébral, un patient peut se trouver plongé dans le coma, état dans lequel il n’a plus conscience de lui-même ou de son environnement, et ne montre aucune réaction à des stimulations.
Le coma peut avoir plusieurs origines: vasculaire (accident vasculaire cérébral), traumatique (consécutif à un accident de voiture, une chute ou un choc violent), tumorale (tumeurs bénignes ou malignes), infectieuse, métabolique, toxiques (alcool, médicaments), etc.

Trouble respiratoire
L'insuffisance respiratoire peut être définie comme une incapacité ou une diminution des capacités du poumon d'assurer une oxygénation normale du sang artériel ( hypoxémie) ainsi qu'une élimination du gaz carbonique.
Selon son mode évolutif, en relation avec la maladie qui en est à l'origine, elle peut être aiguë ou chronique avec des manifestations cliniques variables mais avec des constantes qui sont l' essoufflement, l'augmentation des fréquences respiratoire et cardiaque.

